1
Introdução
A Esclerose Múltipla (EM) é uma doença inflamatória crónica da substância branca do Sistema Nervoso Central (SNC) de etiologia desconhecida. Os mecanismos auto-imunes têm um importante papel na génese da doença, para a qual contribuem ainda, provavelmente, uma susceptibilidade genética associada a factores ambientais ainda por determinar.
Linfócitos T activados perifericamente lesam a barreira hemato-encefálica, formando-se infiltrados inflamatórios perivasculares, desmielinização e, ulteriormente, perda neuronal e gliose (Fig. 1).5
Fig. 1
A doença tem uma prevalência muito variada, sendo mais frequente nas zonas temperadas do Globo onde atinge valores entre os 100 e os 200/100.000. A sua frequência é menor nas regiões tropicais e praticamente não existe em latitudes vizinhas do Equador. Em Portugal a prevalência estimada no único estudo de base populacional disponível é de 46,8 /100.000 (semelhante ao do Sul de Espanha).
Apesar de ser relativamente rara é grande o seu impacto social. Na Europa Ocidental e nos Estados Unidos, a EM é a principal causa de incapacidade por doença primária neurológica no adulto jovem.
2
Clínica e diagnóstico
A EM tem um pico de diagnóstico na terceira década de vida, sendo excepcional em idades inferiores aos 15 e superiores aos 65 anos e é cerca de 2 vezes mais comum no sexo feminino. A doença tem um curso altamente variado e imprevisível (Fig. 2).
6
Padrões Evolutivos de EM

FIG. 2
Em cerca de 90% dos casos evolui por surtos de exacerbação-remissão. Surtos são episódios de sinais e sintomas neurológicos sugerindo um atingimento multifocal da substância branca do SNC, que se instalam e evoluem em cerca de 4 semanas, remitindo depois de forma completa ou parcial, deixando ou não ficar sequelas permanentes. Estes surtos sucedem-se no tempo com periodicidade muito variável (em média 1 surto cada 2 anos). Os sintomas da doença dependem dos locais do SNC atingidos pelas lesões, pelo que a sintomatologia é altamente diversificada (Quadro I).
Quadro I
A doença pode determinar incapacidade severa. Embora 20% dos casos possam ter uma evolução benigna, cerca de 50%, evoluirão, 10 a 15 anos após o diagnóstico, com insidiosa deterioração dos sintomas preestabelecidos, continuando os surtos a ocorrer, embora, em regra, com menor frequência (formas crónicas progressivas). O diagnóstico da evolução crónica progressiva só pode ser feito de forma retrospectiva e pressupõe uma deterioração clínica confirmada, por um período de tempo superior a 6 meses. A incapacidade depende quer das sequelas dos surtos, quer, sobretudo, desta insidiosa progressão. Um dos problemas com que se depara o médico assistente é a impossibilidade de definir um prognóstico caso a caso. Menos de 10% de doentes portadores de EM têm desde o início uma evolução lentamente progressiva, sem surtos detectáveis. Estas formas raras (menos de 10% do total de casos) são designadas como formas primariamente progressivas da doença, surgem em grupos etários mais avançados (4ª e 5ª décadas) e têm características biológicas aparentemente diferentes, com muito menos lesões encefálicas demonstráveis na Ressonância Nuclear Magnética (RNM).
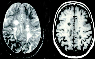
O diagnóstico definitivo de EM passa pela demonstração de disseminação temporo-espacial de lesões inflamatórias na substância branca do SNC. Para além da clínica a disseminação espacial destas lesões pode pôr-se em evidência recorrendo a técnicas neurofisiológicas (Potenciais Evocados Multimodais) e de Imagem (RNM). Embora as imagens não sejam específicas, a RNM revela lesões encefálicas em cerca de 98% de doentes com diagnóstico definitivo (Fig. 3).
7
| Ressonância
Nuclear Magnética |
| 1
2 |
3
4 |
|
|
| RNM: Lesões típicas de esclerose múltipla. Hiperintensas em T2 (1 e 3) e hipointensas em T1 (2 e 4) |
Fig. 3
A imuno-electroforese do líquor, utilizando técnicas de focalização isoelectrica, demonstra, em cerca de 95% destes doentes, a presença de bandas oligoclonais de imunoglobulinas, ausentes no soro, traduzindo uma resposta imunitária no seio do SNC.
3
Terapêutica
Apesar dos doentes deverem ser seguidos por neurologista, o médico de família deverá estar familiarizado com os aspectos mais comuns da terapêutica da doença, que pode ser sumariada esquematicamente em 4 diferentes vertentes:
1) Terapêutica de surtos;
2) Terapêutica sintomática;
3) Terapêutica destinada a alterar a evolução da doença;
4) Outras medidas gerais indispensáveis no acompanhamento destes doentes.
1) Terapêutica dos surtos
A corticoterapia, sob qualquer forma, reduz a duração dos surtos, embora não altere a incapacidade residual e não exerça influência, a longo prazo, no curso da doença. A ACTH, administrada por via IM sob a forma de gel (tetracosatido), foi a primeira droga a ser ensaiada de forma controlada na EM, em 1961, demonstrando efeitos positivos. São frequentes os efeitos adversos (surtos psicóticos, reacções maniformes, desequilíbrios hidroelectrolíticos), razão pela qual esta terapêutica, apesar de ter eficácia comprovada, só muito raramente é usada presentemente. A metilprednisolona por via endovenosa é, presentemente, a terapêutica mais largamente utilizada no tratamento de surtos. Tem menos efeitos secundários e não exige desmame. Em contrapartida é mais onerosa e o fármaco é de uso exclusivo hospitalar. A prednisolona oral é administrada de forma empírica, para o tratamento de surtos, desde os anos 40. Continua a ser utilizada presentemente para o mesmo efeito, em doentes ambulatórios, com surtos pouco incapacitantes. Poucos são os ensaios clínicos comparando as diferentes modalidades de corticoterapia na terapêutica dos surtos da doença, mas os resultados disponíveis apontam no sentido da ausência de diferença significativa, desde que sejam utilizadas doses equivalentes. A terapêutica apenas encurta a duração do surto não afectando a incapacidade residual. A corticoterapia crónica não tem qualquer efeito no curso evolutivo da doença e é hoje totalmente injustificável.
2) Terapêutica Sintomática
Sendo uma doença crónica multifocal do SNC, a EM é potencialmente geradora de grande variabilidade de sintomas persistentes e incapacitantes.
2.1 – Espasticidade – o aumento do tónus, condicionando espasmos, dor, clónus e se não adequadamente controlado contracturas e posturas viciosas, está comummente presente no doente com EM. O controle adequado da espasticidade deverá ser feito recorrendo aos anti-espásticos disponíveis, usados de forma judiciosa de forma a evitar substitui-la por debilidade muscular, que irá interferir ainda mais nas capacidades de deambulação do doente. O baclofeno é o anti-espástico mais largamente utilizado. A tizanidina, sob a forma «retard», pode ser uma alternativa útil nos doentes com intolerância ao baclofeno, com a vantagem de poder ser administrada em toma única diária. O diazepam tem um efeito anti-espástico, mas induz grande sedação, pelo que a sua utilidade é limitada. Pode ter um papel como coadjuvante no controlo de espasmos dolorosos nocturnos. O dantroleno reduz a espasticidade por interferir nos mecanismos de contractilidade muscular. Induz debilidade muscular e fadiga e pode ser hepatotóxico. Por estes motivos a sua utilidade na doença é muito limitada, embora ocasionalmente possa ser usado quando há muitos espasmos ou um clónus inextinguível.
2.2 – Tremor: O tremor cerebeloso é um dos sintomas mais incapacitantes para o doente com EM e é extremamente difícil de controlar medicamente. Alguns casos melhoram com doses elevadas de isoniazida. O clonazepam tem alguma eficácia, embora a sedação que provoca limite a sua utilização.
2.3 – Fadiga e intolerância ao calor: A fadiga ocorre em cerca de 80% dos doentes, podendo ser de tal forma intensa que interfira com o seu desempenho diário. A amantidina tem-se mostrado eficaz, reduzindo a fadiga em alguns doentes. A fluoxetina tem sido usada com os mesmos objectivos. A 4-aminopiridina e a 3-4-diaminopiridina (fármacos órfãos disponíveis em alguns hospitais) são bloqueadores dos canais de K+ que melhoram a condução nervosa nas fibras desmielinizadas e têm eficácia comprovada, melhorando o desempenho motor, diminuído a fadiga e aumentando a tolerância ao exercício. São particularmente úteis nos agravamentos sintomáticos episódicos induzidos pelo aumento de temperatura.
2.4 – Disfunção esfincteriana – os sintomas urinários por bexiga neurogénia são frequentes, estando presente em cerca de 75% dos doentes. No controle da hiperexcitabilidade vesical, causadora de urgência e incontinência, utiliza-se a oxibutinina que possui reduzidos efeitos anticolinérgicos sistémicos. Recentemente disponível, a tolteradina tem potência idêntica, induzindo contudo menos xerostomia. A nictúria melhora consideravelmente utilizando a hormona antidiurética (DDAVP) por via inalatória ao deitar, que apenas está contra-indicada quando existe hipertensão arterial em decúbito. A distigmina pode ser utilizada com sucesso variável no controle da atonia vesical, sendo preferível contudo nestas circunstâncias recorrer à auto-algaliação intermitente. A auto-algaliação é a única medida terapêutica eficaz na prevenção de infecções urinárias recorrentes e deverá ser instituída quando existam resíduos vesicais persistentemente superiores a 100 cc.
2.5 – Disfunção eréctil: Não há estudos sistemáticos sobre a prevalência de disfunção sexual em doentes com EM. A impotência é contudo frequente. A papaverina e a PGE2 por via intracavernosa têm eficácia. A forma de administração tem contudo contribuído para a limitada adesão a este terapêutica por parte dos doentes. O sildenafil não foi ainda ensaiado especificamente na doença mas é já largamente utilizado para este fim, sendo actualmente o principal fármaco usado na terapêutica médica da disfunção eréctil no doente com EM.
2.6 – Dor e fenómenos paroxísticos: Dores com carácter paroxístico, incluindo a nevralgia do trigémeo, ocorrem com alguma frequência. A carbamazepina é eficaz. O valproato de Sódio, a lamotrigina e a gabapentina constituem alternativas terapêuticas nos casos resistentes, ou quando haja intolerância à carbamazepina. O baclofeno, pode ser igualmente usado como adjuvante.
3. Terapêutica destinada a alterar a evolução da doença.
Sendo a EM uma doença na qual os mecanismos auto-imunes têm um papel indiscutível, vários têm sido os imunossupressores ensaiados com o intuito de alterar o curso da doença. A mitoxantrona revelou-se recentemente eficaz no controle de formas rapidamente evolutivas. O metotrexato e a azatioprina, têm um efeito terapêutico modesto. Há igualmente ensaios que revelam resultados promissores com as imunoglobulinas endovenosas, que deverão ser contudo avaliadas em ensaios mais robustos
O Interferão ß (IFN ß) recombinante foi o primeiro fármaco que revelou ter um efeito terapêutico na EM, alterando a história natural da doença. O IFN ß 1b (Betaferon ®) é uma citoquina imunomodeladora obtida por técnica recombinante que, administrada por via subcutânea, reduz em cerca de 30% a frequência de surtos. RNMs seriadas revelaram que este fármaco diminui o número de novas lesões. O IFN ß 1b foi aprovado em 1993 para o tratamento de doentes com EM evoluindo por surtos. Outra molécula recombinante de IFN ß (IFN ß 1a) foi desenvolvida mais recentemente. Existem ensaios controlados com duas formulações de IFN ß 1a, utilizando doses e vias de administração diferentes, com resultados igualmente favoráveis. Existem dois preparados de IFN ß 1a disponíveis (Avonex ® - 6 MIU IM 1 x semana e Rebife ® - 6 MIU sc 3 x semana). Não foram ainda realizados estudos comparando a eficácia relativa de qualquer destes produtos. Globalmente têm um idêntico perfil de segurança e de efeitos secundários. Induzem quadros gripais com febre e mialgias, nas administrações iniciais, pelo que a sua administração deve ser precedida de paracetamol. Fadiga, depressão, alteração das provas hepáticas, leucopenia e disfunção tiroideia são outros efeitos adversos referidos. Nos preparados administrados por via sc ocorrem lesões cutâneas nos locais de injecção, tendo ocasionalmente sido relatados com o IFN ß 1b necrose e ulceração. Não há ainda ensaios que permitam avaliar o efeito destes tratamentos a longo prazo na doença, nomeadamente não está provado que alterem o seu curso de forma a prevenir significativamente a incapacidade.
O Copolímero 1 (Cop 1) é um polipéptido sintético de 4 aminoácidos que é semelhante a uma das componentes da bainha de mielina. Um ensaio controlado recente revela que o Cop 1 administrado por via sc, reduz significativamente a frequência de surtos, embora, paradoxalmente não tenha sido demonstrado qualquer efeito nas RNMs seriadas realizadas. O fármaco não foi ainda aprovado nos países comunitários, embora seja utilizado nos EUA, nos doentes que não toleram IFN ß.
4. Outras medidas gerais indispensáveis no acompanhamento destes doentes.
Atingindo adultos jovens, na fase mais produtiva das suas vidas e tendo uma evolução tão imprevisível, é natural que a doença seja fonte de insegurança e angústia nos doentes e seus familiares. A ameaça da incapacidade e as incertezas que o diagnóstico acarreta, geram várias atitudes defensivas e determinam frequentemente quadros depressivos. Cabe ao médico estar atento a esta problemática, fazendo o doente verbalizar os seus medos e apreensões. Uma atitude de optimismo realista é fundamental, devendo o doente ser motivado para o cumprimento de uma das medicações destinadas a modificar a história natural da doença. A informação é indispensável. Não há evidência que alterações do tipo de vida ou dos hábitos influam no prognóstico. Muitos doentes têm agravamentos sintomáticos com o calor e outros passam por períodos de intensa e inexplicável astenia. É importante que os doentes sejam adequadamente informados para poderem tomar medidas de protecção e para que aprendam a dosear o esforço. Nas mulheres, a anticoncepção hormonal tem um provável modesto efeito protector. Deverão portanto ser aconselhadas a usar pílulas de baixas doses de estrogénios. A gravidez, ao contrário do que se pensou durante anos, não está contra-indicada. A gestação confere uma protecção relativa para surtos. O puerpério é, pelo contrário, um período de maior probabilidade para a ocorrência de surtos. Globalmente estes riscos relativos anulam-se, pelo que uma gravidez não tem uma influência negativa na evolução da doença. Nos indivíduos com incapacidade, para além da judiciosa utilização das terapêuticas sintomáticas, é fundamental usar medidas de reabilitação Não apenas técnicas de fisioterapia, mas perspectivar todo um conjunto lato de medidas destinadas a manter a funcionalidade. É importante interrogar os doentes especificamente sobre disfunção de esfíncteres e sexual, que só raramente são espontaneamente referidas. Nestas áreas as terapêuticas sintomáticas disponíveis são bastante eficazes e podem modificar significativamente a qualidade de vida dos pacientes. No doente muito incapacitado, confinado à cadeira de rodas ou ao leito, é imprescindível evitar escaras, evitar infecções sobretudo urinárias e respiratórias. Recordamos que são doentes muitas vezes imunossuprimidos, nos quais uma infecção passa frequentemente despercebida.
4
Sumário
1. A esclerose múltipla é uma doença neurológica de causa desconhecida, que atinge a substância branca do Sistema Nervoso Central (SNC).
2. Atinge adultos jovens, preferencialmente do sexo feminino, sendo potencialmente incapacitante
3. Em 80% dos casos há uma evolução inicial por surtos que traduzem o atingimento multifocal do SNC. Ulteriormente a doença pode ter um curso lentamente progressivo, passando os surtos a ser menos frequentes.
4. A evolução é altamente variável, o curso muito imprevisível, pelo que o prognóstico, caso a caso, é difícil de determinar.
5. Apesar de ser uma doença rara, é a causa primária de incapacidade no adulto jovem, no mundo ocidental, por doença primariamente neurológica.
6. Presentemente já há terapêuticas disponíveis, pelo que é importante que estes casos sejam cuidadosamente rastreados pelos médicos de família e orientados para consultas de especialidade.
9
Bibliografia
Carter J L. Disease modifying therapies for multiple sclerosis. CNS Drugs. 3 (2). 99-114, 1995.
Clanet M, Azais-Vuillemim. What is new in the symptomatic management of multiple sclerosis? In Multiple Sclerosis, clinical challenges and controversies. Chap 17 pp 235-242. Ed Alan Thompson et al. Martin Dunitz Ltd, 1997
Compston A. Treatment and management of multiple sclerosis. In McAlpine´s Multiple Sclerosis. Sect 5- chap 14 pp 437-498. 3th edition. Ed A Compston. Churchill Livingstone, 1998.
MacDonald WI. New treatments for multiple sclerosis may delay deterioration. British Med J. 310; 345-346, 1995.
Oosten B W van, Truyen L, Barkhof F : Multiple Sclerosis, a practical guide. Drugs.49 (2); 200-212, 1995.
|